
新京报网(湖北日报网)消息(通讯员:李阳)吃饭时,不慎吞下一根直径25毫米的鱼刺,卡在食道内。尖端压在人体最厚的部分主动脉上。哪怕是最微小的差别,也会造成生与死的差别。湖北航天医院耳鼻喉科凭借丰富的经验,最终化险为夷,成功取出异物。
2025年12月9日中午,陈女士在午餐时不慎吞下鱼刺,感到胸骨后持续疼痛。我尝试了休息、喝水、吞菜、喝醋等常见方法,但疼痛却丝毫没有减轻。
下午6点,陈某被紧急送往湖北航天医院急诊科救治。体检显示,口咽部和喉咙均未发现异物,胸部 CT 扫描结果也显示为异常。每日安排。
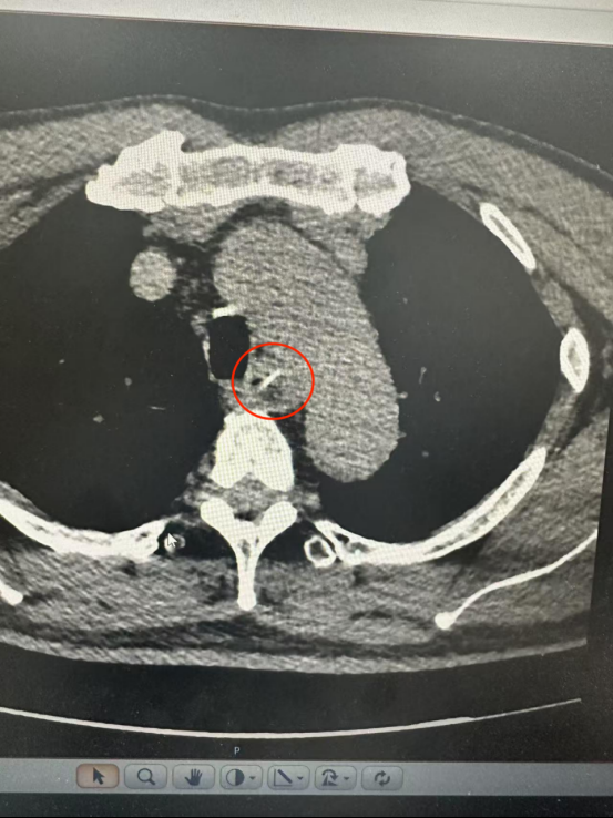
CT扫描显示,一根约25毫米长的鱼骨卡在食管中部,两端靠近食管壁外缘和主动脉弓内侧。主动脉是人体最大的动脉,鱼骨处于非常危险的位置。
被囚禁的鱼骨姿势,所有医生都捏出了一身冷汗。主动脉弓是心脏将血液泵送到全身的主要通道。压力非常大。一旦刺穿,患者会在很短的时间内出现危及生命的出血。
时间至关重要。湖北航天医院耳鼻喉科主任李富国立即联系了放射科主任钟贤。
根据三维CT重建结果,鱼骨接近主动脉弓,但没有穿透主动脉和食管的全层。尖端垂直于ta主动脉正切,呈“1”字形。
经过对李富国先生的综合评估,医疗团队决定进行食管镜取出食管异物,并向患者及家属详细说明手术的风险和必要性。
“鱼刺离主动脉很近,所以这是一个刀口手术,但我有信心。”李富国医生的专业讲解赢得了患者及家属的知情同意和信任。
手术室内气氛庄严、集中。邻近主动脉弓的手术空间只有指尖那么窄。鱼骨的尖端很锋利,靠近主动脉弓。演奏任何乐器都存在隐藏的风险。如果不小心割伤血管,大出血可能会立即危及生命。如果拉得太用力,就会撕裂食管粘膜,造成穿孔和感染。有一种可能是
李富国屏住呼吸,集中精神,开始思考。他的手术细腻,依靠的是他数十年的耳鼻喉科手术经验。他配备了精密仪器,以毫米级的视野仔细探测并将鱼骨与鱼分开。一边看着内窥镜屏幕,一边逐渐松开鱼的刺和周围组织之间的粘连,同时避开血管和神经。
手术室里时间仿佛静止了,每一秒都牵动着每个人的神经。当25毫米的鱼刺顺利、完整地取出时,手术室内紧张的气氛终于得到缓解。
取出鱼刺后,李富国仔细监测患者的生命体征,注意有无迟发性出血或感染的情况发生。患者禁食24小时,通过静脉补液维持营养,逐渐恢复流质饮食。
术后食管造影未见整个食管有明显扩张,造影剂通过sm情况良好,72小时观察期间未发生出血、穿孔等并发症。
经过两天的补液和对症治疗,陈某康复顺利出院。出院时,他叹了口气。我想知道小鱼骨头是否会如此危险。感谢湖北航天医院的专业团队救了我的命。 ”
此次手术的成功体现了湖北航天医院耳鼻喉科救治危重患者的能力。另外,一定要彻底咀嚼食物,以免无意中将自己置于危险之中。